歐登醫事放射所

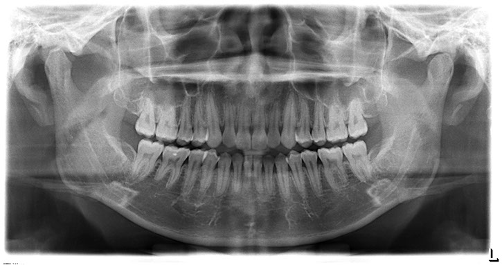
全口掃描X光攝影 (Panoramic x-ray)

全口掃描X光攝影(Panoramic x-ray)是一張環形掃描之全景X光攝影,它是齒顎矯正及植牙手術前一張不可或缺的影像,可以觀看到我們上下牙齒的形態、排列狀況,以及牙齦齒槽骨高度、與下頷神經管相關位置,亦可縱觀到顳顎關節(TMJ)、鼻竇(Sinus)、埋伏齒、囊腫(Cyst)或腫瘤(Mass)‧ ‧ ‧ ‧ ‧ ‧等等,同時可約略評估骨質狀態,因此它也常是醫療型全身健康檢查的例行項目之一。

一張好的全口掃描X光除了必須要有專業放射師的擺位、機器準確的定位外,影像清晰度的高低決定了它的診斷價值,我們提供高解析的數位化影像,亦可輸出雷射傳統X光片,讓您的牙醫師取得所需形式的報告來為您做最好的診斷。