側顱X光攝影
側顱X光攝影 (Cephalometric x-ray)
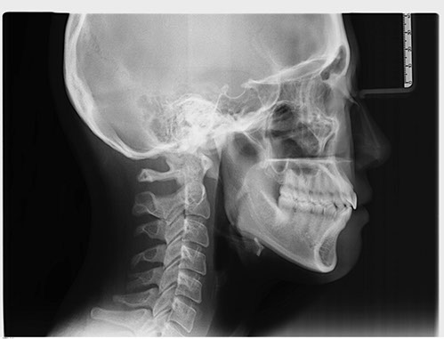
側顱X光攝影(Cephalometric x-ray) 是一張從側面拍攝頭顱骨及軟組織之X光片,主要用於齒顎矯正術前、術後評估用,並利用它繪製出矯正分析圖(Cephalometric Tracing),取得頭顱與齒列的測量值(Means),牙醫師則依據這些測量值進行評估患者是屬於何種咬合類型,同時配合其他X光攝影 ( 如:全口掃描、正頭顱、手骨‧ ‧ ‧ ‧ ‧ ‧ ),來執行矯正治療計畫。
側顱X光攝影(Cephalometric x-ray) 是一張從側面拍攝頭顱骨及軟組織之X光片,主要用於齒顎矯正術前、術後評估用,並利用它繪製出矯正分析圖(Cephalometric Tracing),取得頭顱與齒列的測量值(Means),牙醫師則依據這些測量值進行評估患者是屬於何種咬合類型,同時配合其他X光攝影 ( 如:全口掃描、正頭顱、手骨‧ ‧ ‧ ‧ ‧ ‧ ),來執行矯正治療計畫。